
Ultra Image Quality
Ultra quality of 70μ allowing better diagnosis for your patients.

New F.O.V.
I-Max 3D XPRO includes 20 3D programs with a field of view from 16x11 cm to 5x5 cm.

Technology
Super IGZO Technology includes: a new generation of intelligent sensor, AI noise reduction processing, and the creation of very low-noise images.

Download the Brochure
Discover the incredible performance of our I-Max 3D XPRO.

Adaptable to All Practices
The I-Max 3D XPRO adapts to all dental practices, available in three versions with various mounting options. Your dental panoramic can be configured according to the different layouts of your practices. Choose the I-Max 3D XPRO (Column) version, the I-Max 3D XPRO (Wall) version, or the cephalometric version, depending on your specific needs.
Easy to Use
The I-Max 3D XPRO panoramic unit adapts to your current needs, allowing you to switch from classic 2D to a 2D/3D Cone Beam version at your convenience. Thanks to its intuitive interface, you can easily navigate between 2D and 3D exams.


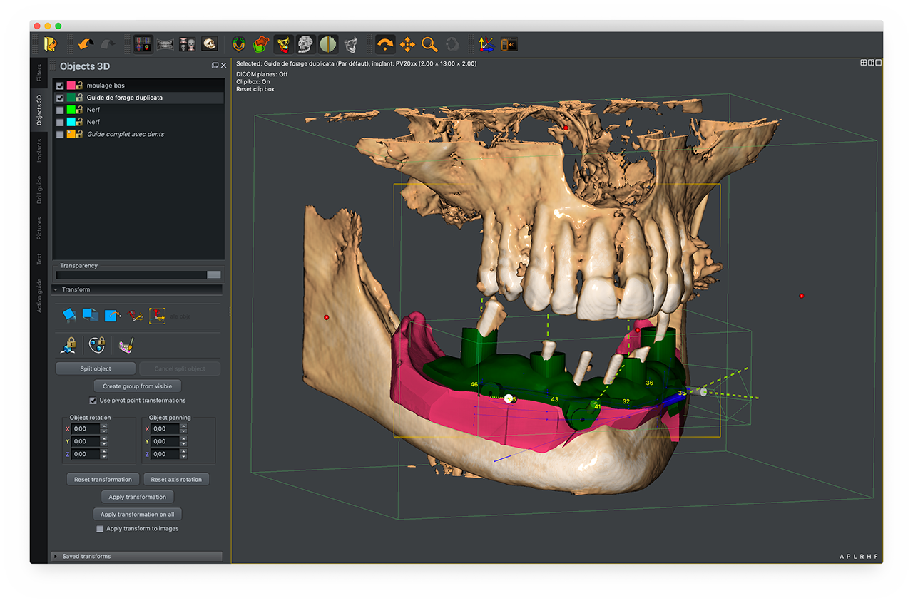
QuickVision 3D
QuickVision 3D is a software that generates panoramic images and bone models from axial images. It helps identify the mandibular canal, calculates bone density, and simulates implant placement in 2D and 3D, thus facilitating surgical interventions.
.png?width=1444&height=1920&name=I-Max%203D%20XPRO%20Colonne%20(1).png)
Request a Demo without Commitment
Our Product Experts are at your disposal to present our I-Max 3D XPRO panoramic unit in detail. Via video call or during a physical appointment according to your convenience.
Fill out the following form to better plan your next appointment with our product expert:
